Attention! Is Cancer Really That Scary? Actually Not, Cancer Does Not Equal a Terminal Illness
In people's minds, cancer has always been equated with a terminal illness. In TV dramas, if the protagonist is diagnosed with cancer, the end is not far off. In daily life, have you ever heard conversations like: "So-and-so passed away; he was diagnosed with cancer last year..." "So-and-so got cancer, and even after surgery, they couldn't save him..." "I heard so-and-so has cancer; I'm afraid it won't be long..." and so on.
Is cancer really that scary? Actually not. In the eyes of us oncologists, cancer does not equal a terminal illness!
1. Advancements in Technology
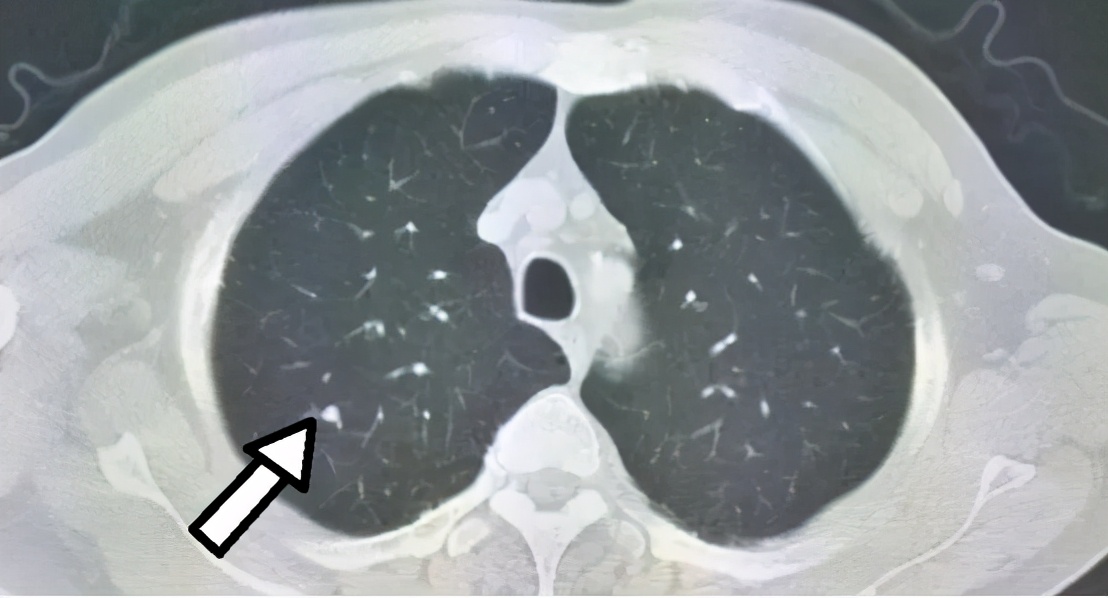
Last week, a patient with a pulmonary nodule came for a consultation. The imaging findings from the chest CT showed a solid nodule measuring approximately 0.5 cm. Based on the imaging, there was a possibility of malignancy, but since it was currently small, the patient was advised to undergo observation. The patient asked, "What if it turns out to be lung cancer? Wouldn't it be better to have surgery sooner?"
Indeed, based solely on the imaging, there is a possibility of malignancy, but it could also be benign. If, after a period of observation, the nodule shrinks, it suggests it may be an inflammatory process. Alternatively, if the nodule remains unchanged over a long period, it is more likely to be benign, thereby avoiding unnecessary surgery.
Even if it were lung cancer, this would not be the optimal time for resection. The lesion is too small, and attempting surgical exploration at this stage might not directly locate the lesion, increasing the difficulty of the procedure and exacerbating the physical harm caused by the surgery.
Cartoon hand-drawn medical anti-cancer oncology tumor splash screen poster illustration
After explanation, the patient expressed understanding and agreed to undergo CT scans every 3-6 months.
Screening technologies for lung cancer have now become relatively mature. Low-dose chest CT scans can detect lung nodules as small as a few millimeters, enabling the identification of lung cancer lesions at a very early stage.
Not only for lung cancer, but screening technologies for malignant tumors such as breast cancer, cervical cancer, and liver cancer are also increasingly advanced. Technological progress allows for early detection of malignant tumors, leading to better treatment outcomes.
2. Early-stage cancers can be cured.
We advocate early detection and early treatment for cancer because the treatment outcomes for early-stage cancers are excellent. In 2008, an early-stage liver cancer patient, aside from undergoing surgery and traditional Chinese medicine treatment, did not receive any other therapies. We hadn’t seen them for many years, but recently, due to dietary negligence, they returned for a follow-up visit due to gastrointestinal discomfort.
Liver cancer is known as the "king of cancers" and is notorious for its rapid progression. Patients with advanced-stage liver cancer often have a survival period ranging from six months to a year and a half. The primary reason this patient achieved such positive treatment outcomes was early detection.
Most malignant tumors, if detected early, can achieve favorable treatment outcomes. Therefore, we consistently spare no effort in promoting early screening for malignant tumors. However, due to variations in medical standards and economic conditions across different regions, most patients with malignant tumors are still diagnosed only when the disease has reached an advanced stage.
3. Advanced-stage patients can achieve long-term survival
Two years ago, a patient with colon cancer developed liver metastases six months after surgery, classified as an advanced-stage disease. Having lost confidence in surgery, they sought Traditional Chinese Medicine treatment. After a comprehensive assessment, we determined that the liver tumors were localized and that surgery could be considered. However, given the patient's poor physical condition and progression of the primary tumor, we recommended chemotherapy first, supplemented by Chinese herbal medicine for supportive care. Once chemotherapy was completed and the patient's physical condition improved, surgical resection was performed.
After completing three months of chemotherapy and traditional Chinese medicine treatment, the patient was in good physical condition and met the surgical criteria, so a partial right hepatic lobectomy was performed. Following the surgery, the patient underwent six additional courses of chemotherapy and has been taking traditional Chinese medicine to date, with no recurrence or metastasis observed.
Cartoon hand-drawn medical doctor holding shield saving cancer patient poster illustration
Modern treatment technologies are constantly advancing, and patients in the middle to late stages can also achieve long-term survival through active treatment. Some late-stage patients can live with tumors for several years or even over a decade.
Advances in medical technology have brought tremendous changes to cancer treatment. The innovation and application of new technologies have provided cancer patients with more options and a better treatment experience.
With the advancement of the times, cancer has evolved from a terminal illness to a treatable disease. In the future, we will completely overcome the challenge of cancer and remove it from the list of terminal illnesses.